目次
症例紹介


背景と経過
かかりつけの歯科医院にて、虫歯が深いため根管治療が必要と説明を受けた患者様です。根管治療は歯科治療の中でも特に細かな処置であるため、専門性の高い治療を受けたいとのことで、ご自身でインターネットを調べて当院を受診されました。治療は2回で完了しました。その後かぶせものを装着し、良好な経過をたどっています。
治療初回の来院時
浸潤麻酔を行い、虫歯を完全に除去し、ラバーダム装着後根管治療を開始しました。歯髄(歯の神経)は炎症を起こしている状態のため、根管内を次亜塩素酸ナトリウム溶液で十分に洗浄、水酸化カルシウム製剤を貼薬して封鎖し、初日の治療を終了しました。
2回目の来院時
患者様「はじめのズキズキした痛みはおさまった。まだ多少の鈍い痛みはあるが、治療前に比べるとかなりましになっている。」
処置:再度根管内を清掃し、バイオセラミックシーラーを使用したシングルポイント法にて根管充填、同日にデュアルキュアレジンにてコア築造し、根管治療は完了しました。
背景:元々痛みが強い状態であればあるほど、術後の痛みも出やすい傾向にありますが、今回の歯は根管治療後の痛みはそこまで強くありませんでした。初めて根の中を触る治療(Initial Treatment)の成功率は高く、半年ほど経過を見て、問題なければクラウンによる補綴を行うことになりました。
3回目の来院(治療完了から6ヶ月後)
患者様「全く痛みもなく快適に過ごせている。今は土台の状態なので、少しものが詰まりやすい程度だが問題ない。」
処置:経過観察→セラミッククラウンへ移行
背景:6ヶ月経過し、レントゲン的にも患者様の症状的にも問題がないため、セラミッククラウンへ移行し、治療は完了しました。
| 根管洗浄 | 次亜塩素酸ナトリウム溶液・EDTA溶液 |
| 根管貼薬 | 水酸化カルシウム |
| 拡大号数 | MB根 #40/04 DB根 #40/40 P根 #50/04 |
| 根管充填 | バイオセラミックシーラーを用いたHydraulic condensation technique |
Drからのコメント
上記の患者様のように、初めて根の中を触る治療(Initial Treatment)は、ラバーダムやマイクロスコープ、CTなどの最適な環境で治療を行えば、高い成功率(90%)が報告しています。一度治療を受けた歯の再治療(Re-Treatment)は成功率が低下するため、「初めに精密な根の治療を受けることが重要」「初めに精密な根の治療を受ければ再発のリスクは低い」ということがいえます。
また、根の治療がうまく治った後の精密なかぶせもの(クラウン)も、歯の寿命に大きく影響します。根管治療はもちろん重要ですが、歯の形を整え型取りを行う歯科医師の技術と、クラウンを作製する歯歯科技工士の経験も、歯を長持ちさせるためには欠かすことができないといえるでしょう。


専門医Drによる初診時の所見の解説
左上6番(第一大臼歯)のインレーが脱離しており、内部でう蝕が大きく進んでいる状態でした。長期にわたりう蝕が隠れていたことにより、根管は石灰化しておりやや狭窄していることが疑われました。隠れた根管が存在している可能性(MB2根)もあり、丁寧かつ慎重に治療を進める必要がある状態でした。

根管治療では、ファイルという細長い器具を使用し、根管内を清掃します。根尖(根の先)ギリギリまで清掃を行うために、根の長さを測定する機器を使用しますが、同時にレントゲン写真にて長さのエラーがないかのダブルチェックを行います。

根管充填(清掃した根の内部の詰め物)は、ガッタパーチャという材料を使用して行います。ここでも、長さの確認を行い、エラーが起こっていないかどうかを確認します。

根管充填直後の写真です。緊密に封鎖が得られていることを確認し、治療は完了です。治療当時は土台を立てる際にスクリューポストという材料を使用していましたが、現在はファイバー製のポストを使用しています。


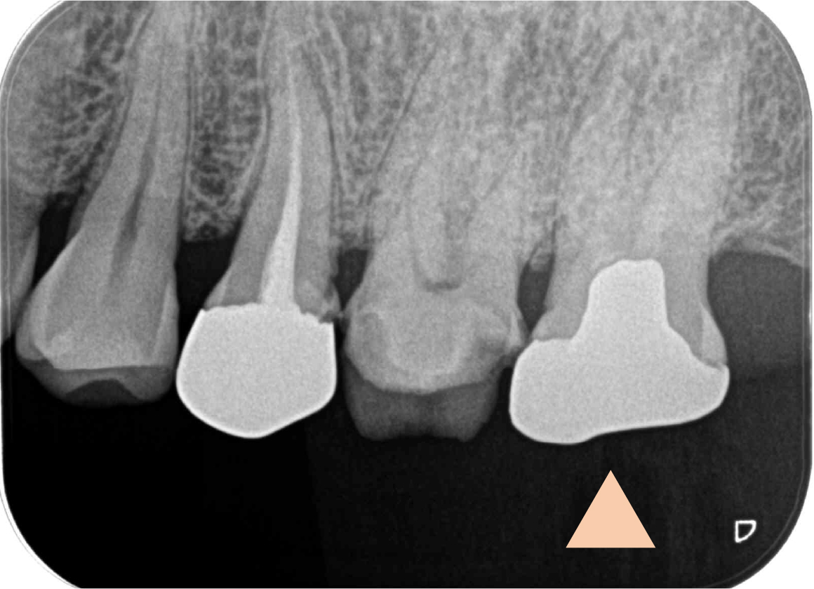
現在術後4年が経過しており、問題なく食事もできており良好な経過をたどっています。
レントゲン的にも根の先の状態は良好であり、修復物の適合もしっかり合っていることがわかります。
根の先の治癒の90%は術後1年以内に起こるとの報告もあり、まずは術後1年がひとつの基準になります。
ただし、治癒に時間がある場合もあり、その場合は術後4年まで経過観察を続ける場合もあります。
今回の患者様の場合、早期に痛みの症状は消え、術後6ヶ月時点で全く問題ない状態だったため、早いタイミングでセラミッククラウンを装着するに至りました。
(根管治療後の経過観察期間についてはこちらをご覧ください)
この患者様のセカンドオピニオン時のやりとりについては下記をご覧ください。
▶️根管治療の専門医による治療を希望して来院した60代女性患者様|根管治療の成功率と重要なポイント>>
▶️この歯の実際の治療の動画はこちら>>
(マイクロスコープによる根管治療の動画が流れます)
本症例と同様に「専門医による治療」を希望し来院した他の事例はこちら
▶️根の先に膿がたまり、上顎洞の骨も溶けている【50代女性】_症例22
▶️他院で根管治療を開始したが、痛みが強く続いているため転院 ペリオドンによる根管治療後の強い痛み【40代女性】_症例25
▶️奥歯の根管治療は難しいと言われ、専門医に治療を受けたいと思い調べて来院 【30代女性】_症例32
治療詳細
| 主訴 | かかりつけの歯科医院で、根管治療が必要と言われた。 |
| 治療内容 | 左上大臼歯の精密根管治療 |
| 治療期間 | 2回(2週間) |
| 費用 | 165,000円(税込) |
| リスク・副作用 | 根管治療後には、痛みや腫れが起こる可能性があります。 症状の軽減には数か月の期間が必要な場合があります。 根管治療を行った歯は、歯の破折(垂直性歯根破折)のリスクが高まります。 |
監修者情報

院長 髙井 駿佑
経歴
- 2007年 県立宝塚北高等学校 卒業
- 2013年 国立鹿児島大学歯学部 卒業
- 2014年 大阪大学歯学部附属病院 総合診療部 研修修了
- 2016年 医療法人晴和会うしくぼ歯科 勤務
- 2019年 医療法人晴和会うしくぼ歯科 副院長 就任
- 2023年 髙井歯科クリニック 開院
資格
- 日本歯内療法学会 専門医
- 米国歯内療法学会 会員
- 日本外傷歯学会 認定医




