目次
背景と経過
前医で根管治療を数回受けていたものの痛みが引かず、ある時「歯の中に穴があいているため治らない」と説明を受けたとのことでした。ネットで調べたところ、「パーフォレーション」「MTAセメント」という言葉が出てきたものの詳しいことはわからず、専門医に相談したいという主訴で来院されました。
症例紹介
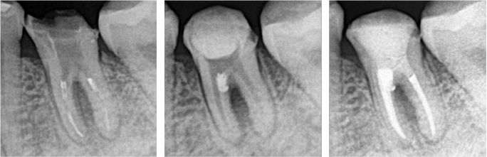
初診来院時の状態

現在根管治療途中の状態であり、術前のレントゲンからは歯の中の穴(パーフォレーション)は確認できませんでした。しかし、仮封(仮ふた)の材料をはずすと、本来の根管とは異なる方向に穴があいていることが確認できました。
パーフォレーションが起こっている歯の成功率は、通常よりも低下することをご説明し、同意を得た上で治療を開始していくことになりました。
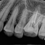
パーフォレーションの確認

本来の根管は上記の赤矢印ですが、パーフォレーションを起こした部位にファイルを挿入すると、根管ではない位置に器具が進みました(黄矢印)。これにより、歯の周囲の骨吸収の原因はこのパーフォレーションであることが確定しました。
MTAセメントを用いたパーフォレーションリペア(穿孔封鎖)

パーフォレーションを起こしている部位に対して、MTAセメントを使用し封鎖を行いました。これにより、根管内外の細菌感染の経路を封鎖します。
根管治療

MTAセメントにてパーフォレーションを封鎖した後は、通常通りの根管治療を行います。
根管治療後、まずは6ヶ月の経過観察となります。
| 根管洗浄 | 次亜塩素酸ナトリウム溶液・EDTA溶液 |
| 根管貼薬 | 水酸化カルシウム |
| 拡大号数 | MB根#50/04 ML根#50/04 D根#60/02 |
| 根管充填 | バイオセラミックシーラーを用いたHydraulic condensation technique +MTAセメントによるパーフォレーションリペア |
フォローアップ

術後6ヶ月のフォローアップ時のレントゲンとCTにて、元々顕著であった骨吸収の回復が認められました。歯周ポケットも10mmだった部位は3mmに減少し、治癒傾向を示しています。
治療後の患者様のご感想
歯に穴があいていると聞いた時は、もう抜くしかないのではないかととても不安になりました。前の担当の先生も、基本的には穴が空いていると抜歯しかないと言われていたためです。ネットでも治る確率は低いとのことでしたが、こちらで治療をしていただいてから痛みはなくなり、半年が経ちましたがとても調子良く過ごせています。レントゲンでも骨が戻ってきていると聞き、あの時抜歯せずに相談に来てよかったです。
Drからのコメント
パーフォレーションは、歯の根の内部に穴があいていることで、通常の根管治療に比べ成功率は低下する傾向にあります。今回は、術後わずか半年で大きな治癒傾向を示し、良好な経過をたどっています。パーフォレーションの封鎖はMTAセメントという材料の使用が第一選択ですが、まず前提としてラバーダムを使用していることや、顕微鏡下で精密な処置を行っていることが重要です。今後、術後12ヶ月までは経過を追い、問題なければクラウンを装着して治療は終了となる予定です。
治療詳細
| 主訴 | 歯に穴が空いていると言われた |
| 治療内容 | 下顎大臼歯の精密根管治療 |
| 治療期間 | 2回 |
| 費用 | 根管治療 165,000円 |
| リスク・副作用 | 根管治療を行った歯は、不快症状が数ヶ月継続する可能性があります。また、術直後は痛みが出る可能性があります。症状の軽減には、およそ半年から1年程度の期間が必要です。臼歯の根管治療歯は歯の破折リスクが上がるため、クラウンによる補綴治療が推奨されます。 |
この患者様のセカンドオピニオン時のやりとりについては下記をご覧ください。
パーフォレーションへの対応とMTAセメントによる修復を希望した50代女性患者様|抜歯を宣告された歯の再根管治療
本症例と関連した他の根管治療の事例はこちら
▶️ラバーダムなしで根管治療を開始したが、ずっと痛みが続いている【30代女性】_症例36
▶️根管治療が終わったばかりだが、痛みが続いておりもう一度根管治療のやり直し言われた【50代女性】_症例37
▶️10回以上根の治療に通っているが治らない【20代女性】_症例6
監修者情報

院長 髙井 駿佑
経歴
- 2007年 県立宝塚北高等学校 卒業
- 2013年 国立鹿児島大学歯学部 卒業
- 2014年 大阪大学歯学部附属病院 総合診療部 研修修了
- 2016年 医療法人晴和会うしくぼ歯科 勤務
- 2019年 医療法人晴和会うしくぼ歯科 副院長 就任
- 2023年 髙井歯科クリニック 開院
資格
- 日本歯内療法学会 専門医
- 米国歯内療法学会 会員
- 日本外傷歯学会 認定医





