目次
背景と経過
2週間前に歯の違和感とフィステル(プツッとした膿)が出現したため、近くに歯科医院に相談に行きました。レントゲンにて根の先に黒い影があり、神経が死んでしまっているため根管治療が必要と説明を受けたものの、奥歯の根管治療は難しいと説明を受けたとのことです。ご自身で専門医の歯科医師を探したところ、髙井歯科クリニックを見つけ、受診に至りました。
症例紹介
初診来院時の状態

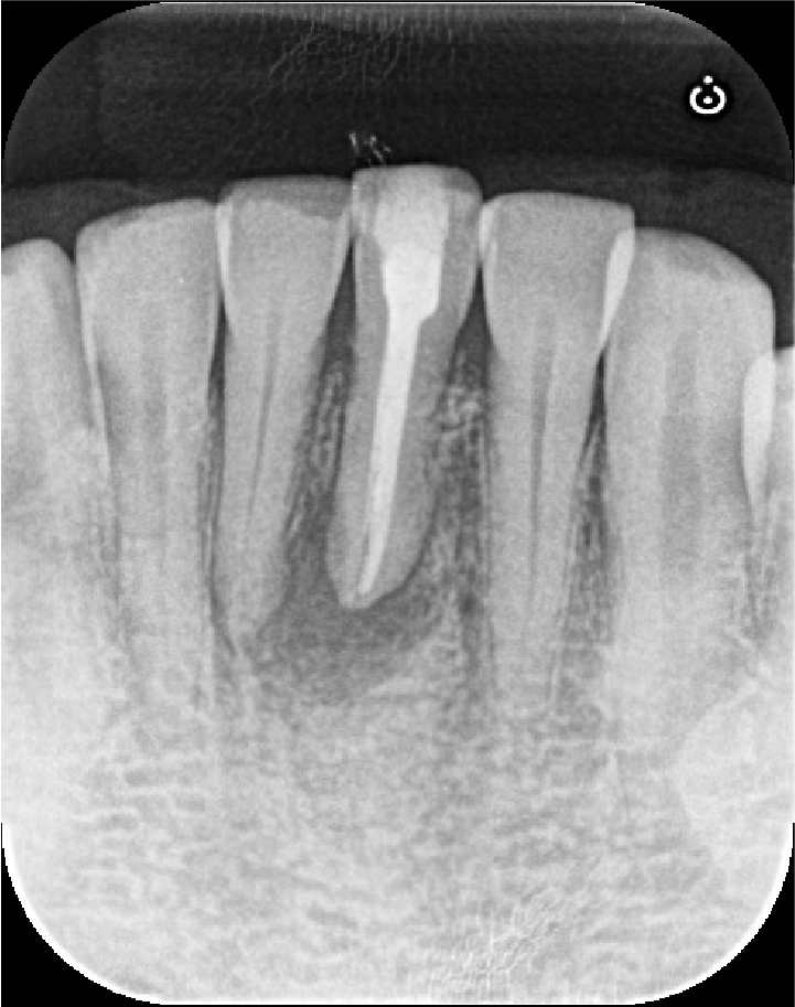
術前のレントゲン・CT画像にて、根の先に大きな黒い影が認められました。
歯の神経の状態の検査からも、神経の反応はなく、歯髄壊死(神経が死んでしまっている状態)と診断しました。
精密根管治療

根管は根の先端部分で合流しており、マイクロスコープを使用して徹底的に根の中の清掃を行いました。やや特殊な形状でしたが、根管充填も問題なく完了し、次回は6ヶ月後の経過観察となりました。
| 根管洗浄 | 次亜塩素酸ナトリウム溶液・EDTA溶液 |
| 根管貼薬 | 水酸化カルシウム |
| 拡大号数 | M根#40/04 D根#50/04 |
| 根管充填 | バイオセラミックシーラーを用いたHydraulic condensation technique |
6ヶ月後の経過観察

レントゲン写真にて、根の先の黒い影(骨の吸収像)の縮小傾向が認められました。
症状もなく、フィステルも治療後すぐに消失したとのことでした。
わずかにまだ黒い影が残っているため、さらに追加で6ヶ月、術後12ヶ月まで経過をみることになりました。
12ヶ月後の経過観察

12ヶ月後のCT画像にて、元々大きく広がっていた骨の吸収が完全に再生していることが確認できました。症状も全くないとのことで、セラミッククラウンを装着して治療は終了となりました。
治療後の患者様のご感想
「奥歯の根管治療は難しいと初めの先生から説明を受け、自分でもネットで色々調べたところ、治療をしてもすぐに再発したり、治らないことが多いと初めて知りました。その中で、専門医という先生がいることを知り、自宅からは少し遠かったのですが、こちらに治療をお願いすることにしました。過去に他の歯の根管治療を別の歯医者で受けたことがあるのですが、比較にならないほど治療がスムーズに進んだのと、説明も丁寧にしてくれたので安心して任せることができました。結果、違和感やフィステルもすぐに消えてくれて、しっかり歯を残すことができて、本当によかったです。ありがとうございました。」
Drからのコメント
一般的に、大臼歯、特に一番奥の7番(第二大臼歯)の根管治療は難しいと言われています。その理由として、解剖学的に歯の根の形が人によってさまざまである点、そして、物理的に奥の方の歯なので、器具が届きにくいという点です。しかし、「どこがどのような構造をしており、こういう場合はどの器具を使いどうすればよいか」が瞬時に判断できると、治療はスムーズに進めることができます。もちろん、歯によって難易度は多様ですが、今回は第二大臼歯で根の携帯もやや複雑ではあったものの、しっかりと治療を行えば十分治癒する見込みがあったケースであるといえます。
術後12ヶ月時点で根の先の骨も完全に再生しているため、今後もおそらく問題なく使用してもらえると思います。
治療詳細
| 主訴 | 専門医による根管治療を希望 |
| 治療内容 | 左下大臼歯の精密根管治療 |
| 治療期間 | 2回 |
| 費用 | 根管治療165,000円(税込) |
| リスク・副作用 | 根管治療を行った歯は、不快症状が数ヶ月継続する可能性があります。また、術直後は痛みが出る可能性があります。症状の軽減には、およそ半年から1年程度の期間が必要です。臼歯の根管治療歯は歯の破折リスクが上がるため、クラウンによる補綴治療が推奨されます。 |
この患者様のセカンドオピニオン時のやりとりについては下記をご覧ください。
奥歯の根管治療は難しいと言われ、専門医の治療を希望した30代女性患者様|専門医による奥歯の精密根管治療
本症例と関連する他の根管治療の事例はこちら
▶️根の先の膿が大きいため抜歯するしかないと言われた歯を残したい【50代女性】_症例5
▶️10回以上根の治療に通っているが治らない【20代女性】_症例6
▶️歯の根が大きく曲がっている歯の根管治療【30代女性】_症例28
監修者情報

院長 髙井 駿佑
経歴
- 2007年 県立宝塚北高等学校 卒業
- 2013年 国立鹿児島大学歯学部 卒業
- 2014年 大阪大学歯学部附属病院 総合診療部 研修修了
- 2016年 医療法人晴和会うしくぼ歯科 勤務
- 2019年 医療法人晴和会うしくぼ歯科 副院長 就任
- 2023年 髙井歯科クリニック 開院
資格
- 日本歯内療法学会 専門医
- 米国歯内療法学会 会員
- 日本外傷歯学会 認定医





