背景と経過
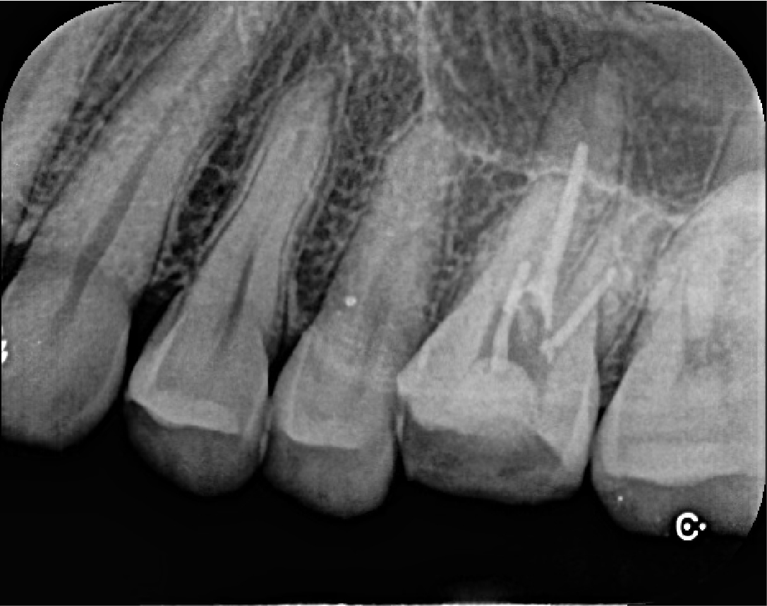
左上奥歯の強い痛みを主訴に来院されました。虫歯が大きく進行している状態でしたが、歯をしっかりと残したいとの希望から、精密根管治療を行うことになりました。2回で治療を完了し、6か月の経過観察後、かぶせものへと移行しました。術後の違和感も徐々に軽減し、良好な経過をたどっています。
症例紹介


治療詳細
| 主訴 | 何もしなくても強い痛みがある |
| 治療内容 | 左上大臼歯の精密根管治療 |
| 治療期間 | 2回(2週間) |
| 費用 | 154,000円(税込) |
| リスク・副作用 | 根管治療後には、痛みや腫れが起こる可能性があります。 症状の軽減には数か月の期間が必要な場合があります。 根管治療を行った歯は、歯の破折(垂直性歯根破折)のリスクが高まります。 |
本症例と関連した他の根管治療事例はこちら
▶️根管治療について調べた結果、難しい治療であることがわかったため専門医の先生に治療をお願いしたい【60代女性】_症例1
▶️他院で虫歯治療後、ズキズキと強い痛みがあるため来院した【40代女性】_症例24
▶️夜も眠れないほど奥歯がズキズキ痛い【30代男性】_症例39
監修者情報

院長 髙井 駿佑
経歴
- 2007年 県立宝塚北高等学校 卒業
- 2013年 国立鹿児島大学歯学部 卒業
- 2014年 大阪大学歯学部附属病院 総合診療部 研修修了
- 2016年 医療法人晴和会うしくぼ歯科 勤務
- 2019年 医療法人晴和会うしくぼ歯科 副院長 就任
- 2023年 髙井歯科クリニック 開院
資格
- 日本歯内療法学会 専門医
- 米国歯内療法学会 会員
- 日本外傷歯学会 認定医





