目次
背景と経過
かかりつけ歯科医院にて虫歯を指摘され、深く広がっているため神経を取る根管治療が必要と説明を受けられた患者様です。ご自身で調べたところ、歯髄を残したいと希望し、当院を受診されました。歯髄検査の結果と虫歯の位置や深さなどから、歯髄保存療法の適応と診断し、治療を行いました。
症例紹介
初診来院時の状態

古い修復物の境目から虫歯が進行しており、レントゲン写真でも歯の神経に近接している状態でした。
歯髄検査の結果、歯髄は正常であることから、神経の保存は可能な状態でした。
また、虫歯の位置や歯列の位置からも、歯髄保存治療のアクセスが十分可能であることから、歯髄保存療法を実施することになりました。

歯髄保存療法

古い修復物を除去すると、歯髄が露出している状態でした。表層歯髄組織は一部細菌感染していることから、露髄面から数ミリの歯髄を除去し、止血が得られた後にMTAセメントで封鎖を行いました。
上部はレジン充填で封鎖し、6ヶ月経過観察へ移行しました。
フォローアップ
治療後6ヶ月

治療後の1〜2ヶ月はしみる症状があったものの徐々に軽減し、術後6ヶ月時点では自覚症状は消失していました。
歯髄の検査を行ったところ、正常な反応を示したため、セラミックインレーにて最終修復を行いました。
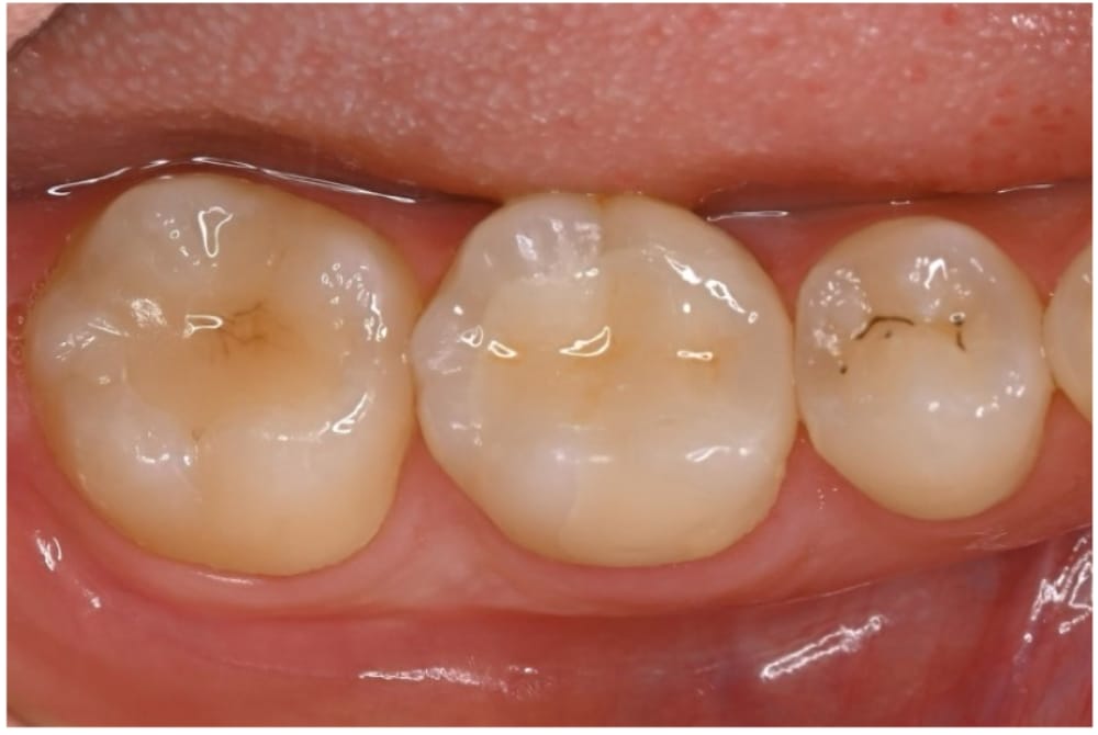
治療後12ヶ月


セラミックインレー装着後の状態です。歯髄保存療法から12ヶ月が経過しており、日常生活でも支障はなく、健康な状態を維持できています。
患者様のご感想
年齢も30代ということもあり、できるだけ神経を残したいと思っていたので、無事に治療を受けることができてよかったです。検査や処置、リスクの説明などもしっかりと行ってくれたので、安心してお任せすることができました。ありがとうございました。
Drからのコメント
歯髄保存療法は、歯の神経を残すことができるという点で患者様にとっても意義のある治療といえます。しかし、その適応症例は限られており、どのような歯の神経でも残せるわけではありません。また、歯髄腔の狭窄が起こった場合、その後の根管治療が困難になることもリスクとして挙げられます。今後は、虫歯の再発がないよう、しっかりとご自宅でケアしていただくことが重要です。
また、今回は歯髄保存療法後にインレーでの修復が可能でしたが、虫歯や古い修復物の範囲がより広い場合にはクラウンが必要となります。
治療詳細
| 主訴 | 歯の神経を残したい |
|---|---|
| 治療内容 | 下顎大臼歯の歯髄保存療法 |
| 治療期間 | 1回 |
| 費用 | 歯髄保存療法88,000円(税込) |
| リスク・副作用 | 歯髄保存療法を行った歯は、歯髄の防御反応として、歯髄腔の狭窄が起こる可能性があります。これは、将来根管治療が必要になった場合に治療が行えないリスクとなります。また、術後に痛みが生じた場合には根管治療が必要となる場合があります。 |
本症例と関連する他の根管治療の事例はこちら
▶冷たいものでしみる奥歯の歯の神経を残したい【30代男性】歯髄保存療法は不可能と診断し根管治療を行った下顎大臼歯_症例50
▶「歯の神経が死んでいる」と言われた方へ|神経の確認方法とセカンドオピニオンについて
▶生活歯髄保存療法
監修者情報

院長 髙井 駿佑
経歴
- 2007年 県立宝塚北高等学校 卒業
- 2013年 国立鹿児島大学歯学部 卒業
- 2014年 大阪大学歯学部附属病院 総合診療部 研修修了
- 2016年 医療法人晴和会うしくぼ歯科 勤務
- 2019年 医療法人晴和会うしくぼ歯科 副院長 就任
- 2023年 髙井歯科クリニック 開院
資格
- 日本歯内療法学会 専門医
- 米国歯内療法学会 会員
- 日本外傷歯学会 認定医





