背景と経過
数ヶ月前から奥歯がしみる痛みがあり、近医にて根管治療が必要と診断されていた患者様です。これまで神経をとったことがないので、神経を残せるなら残したいと考え当院を受診されました。歯髄検査の結果、すでに神経は一部強い炎症を起こしている状態であり、さらに虫歯の位置は歯肉よりも深く進んでいることから、歯髄保存療法は適応ではなく、根管治療が必要と診断しました。
この患者様のセカンドオピニオン時のやりとりについては下記をご覧ください。
▶歯髄保存療法を希望して来院した30代男性患者様|歯髄保存か根管治療の診断基準
症例紹介
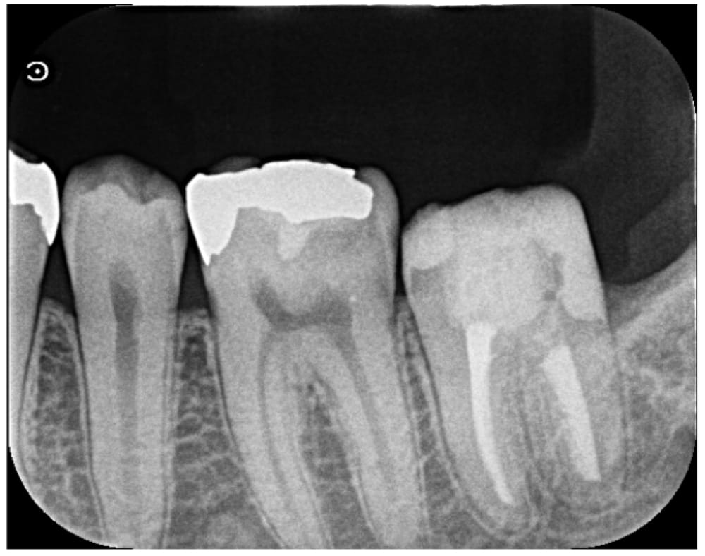
初診来院時の状態

下顎第二大臼歯(7番)の遠心側(後方)に、大きな虫歯が広がっていることが確認できました。歯髄検査の結果からも、一部神経は強い炎症を起こしている状態です。歯髄保存療法で重要なことは、虫歯を完全に除去し、その上で唾液の侵入を防ぎ、歯髄に対する精密な処置を行うことにあります。今回の状態は、虫歯が非常に深い位置に進んでおり、歯髄保存療法を行うことは難しいと判断し、根管治療を実施しました。
精密根管治療

深い虫歯部分を除去し、電気メスにて止血後隔壁を作製し、根管治療を開始しました。
ラバーダム防湿下で、1回法にて治療を完了しています。
| 根管洗浄 | 次亜塩素酸ナトリウム溶液・EDTA溶液 |
|---|---|
| 根管貼薬 | 1回法で治療を終えたためなし |
| 拡大号数 | M根・D根 #60/02 |
| 根管充填 | バイオセラミックシーラーを用いたHydraulic condensation technique |
治療後6ヶ月

根管治療後から特に痛みはなく、良好な経過をたどっています。レントゲンでも根尖部の病変の出現は認められず、治癒傾向ありと判断し、最終補綴(クラウンによる被せ物)へ移行することになりました。
患者様のご感想
虫歯が深いとのことだったので根管治療になりましたが、治療後に痛みもなく、特に気になることもなく過ごせています。あとはかぶせるだけなので、また虫歯にならないようにしっかり歯磨きして定期検診にも通おうと思います。
Drからのコメント
今回の歯のように、虫歯の位置が深く防湿が困難な場合や、歯髄が一部強い炎症を起こしている場合には、歯髄保存療法は適応にはなりません。しかし、抜髄(初回治療・Initial Treatment)の成功率は比較的高く、しっかりとした処置を行えば良好な予後が期待できます。強い痛みがある状態や複雑な根管などの状態でなければ、ほとんどのケースで1回もしくは2回で治療は完了します。
治療詳細
| 主訴 | 冷たいものでしみる、虫歯が大きいが神経を残せるなら残したい |
|---|---|
| 治療内容 | 下顎大臼歯の精密根管治療 |
| 治療期間 | 1回 |
| 費用 | 根管治療165,000円(税込) |
| リスク・副作用 | 根管治療を行った歯は、不快症状が数ヶ月継続する可能性があります。また、術直後は痛みが出る可能性があります。症状の軽減には、およそ半年から1年程度の期間が必要です。臼歯の根管治療歯は歯の破折リスクが上がるため、クラウンによる補綴治療が推奨されます。 |
本症例と関連する他の根管治療の事例はこちら
▶虫歯が深く神経を取らないといけないと言われたが残せるなら残したい【30代男性】大きな虫歯に対する歯髄保存療法_症例49
▶神経を取らないといけないと言われたが、痛みもないので本当に必要かみてほしいとの主訴で来院された50代男性患者様
▶歯髄炎とは?ズキズキ痛む症状・原因と治療法・神経を残すか抜くかの判断基準
▶「歯の神経が死んでいる」と言われた方へ|神経の確認方法とセカンドオピニオンについて
監修者情報

院長 髙井 駿佑
経歴
- 2007年 県立宝塚北高等学校 卒業
- 2013年 国立鹿児島大学歯学部 卒業
- 2014年 大阪大学歯学部附属病院 総合診療部 研修修了
- 2016年 医療法人晴和会うしくぼ歯科 勤務
- 2019年 医療法人晴和会うしくぼ歯科 副院長 就任
- 2023年 髙井歯科クリニック 開院
資格
- 日本歯内療法学会 専門医
- 米国歯内療法学会 会員
- 日本外傷歯学会 認定医





