背景と経過
自転車の事故で前歯を強くぶつけ、神経が死んでしまった患者様です。近くの歯科医院で様子を見ていましたが、歯ぐきが大きく腫れてきたため、根管治療が必要と診断されました。前歯で年齢も若いため、将来しっかり歯を残したいと考え、専門医による治療を希望して来院されました。
症例紹介
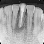
術前の状態

初診来院時の状態では、すでに根の入り口付近に処置が行われている状態でした。患者様によると、腫れた時に少しだけ歯を削ったとのことでしたが、どのような処置が行われていたかは説明を受けていなかったとのことです。
根の先に黒い影(膿・骨の吸収)が認められ、神経の検査では反応がなく、神経が死んでしまっている状態でした。
根管治療

ラバーダムを装着し、機械を使用して歯の根の長さを測定します。さらに、レントゲン写真を撮影し、長さのエラーがないかをチェックします。ここで大きなエラーがあると、治療の失敗につながってしまうため、慎重に器具操作を行います。
根の先端部分が大きく開いていたため、MTAセメントで根尖部を封鎖し、治療は完了となりました。
| 根管洗浄 | 次亜塩素酸ナトリウム溶液・EDTA溶液 |
| 根管貼薬 | なし(1回で治療を終えたため) |
| 拡大号数 | 50/04 |
| 根管充填 | MTAセメント |
治療経過

術後24ヶ月のCT画像にて、根の先の黒い影が消失し、骨が回復していることが確認できます。
腫れや痛みの症状もなく、経過良好といえます。
Drからのコメント
外傷歯の場合、根の先の吸収やクラックなど、さまざまな問題を併発していることがあります。
今回のケースでも、根管の外部吸収が認められ、予後にやや不安が残る状態でした。
患者様の年齢も考慮し、できるだけ侵襲が少ない方法で治療を行い、術後24ヶ月では良好な状態を維持できています。
今後、新たな外傷が起こると歯が完全に破折してしまう可能性もあるため、できるだけ前歯の外傷が起こらないよう気をつけていただきながら、経過を追っていきたいと考えています。
治療詳細
| 主訴 | 専門医による根管治療を希望 |
| 治療内容 | 上顎前歯の精密根管治療 |
| 治療期間 | 2回 |
| 費用 | 根管治療143,000円(税込) |
| リスク・副作用 | 根管治療を行った歯は、不快症状が数ヶ月継続する可能性があります。また、術直後は痛みが出る可能性があります。症状の軽減には、およそ半年から1年程度の期間が必要です。臼歯の根管治療歯は歯の破折リスクが上がるため、クラウンによる補綴治療が推奨されます。 |
前歯をぶつけたら神経を取る治療が必要?外傷後の歯の神経の検査と診断の重要性と難しさを専門医が解説
本症例と似た「前歯の神経が死んでしまった」他の事例はこちら
▶️歯ぐきが腫れて、押すと膿が出ている【20代女性】_症例16
▶️前歯をぶつけて神経の治療が必要といわれた【40代女性】_症例30
▶️歯科治療に対する不安が強いため、鎮静による眠った状態で根管治療を受けたい【40代女性】_症例31
監修者情報

院長 髙井 駿佑
経歴
- 2007年 県立宝塚北高等学校 卒業
- 2013年 国立鹿児島大学歯学部 卒業
- 2014年 大阪大学歯学部附属病院 総合診療部 研修修了
- 2016年 医療法人晴和会うしくぼ歯科 勤務
- 2019年 医療法人晴和会うしくぼ歯科 副院長 就任
- 2023年 髙井歯科クリニック 開院
資格
- 日本歯内療法学会 専門医
- 米国歯内療法学会 会員
- 日本外傷歯学会 認定医





