背景と経過
かかりつけの歯科医院からのご紹介患者様です。噛むと鈍痛があり、根の先の骨の吸収が大きく、再根管治療が難しいため抜歯を勧められたとのことでした。なるべくなら抜歯は避けて自分の歯を健康に残したいとのことから、根管治療の専門のクリニックへの紹介を希望し、当院をご紹介いただきました。
再根管治療の成功率はおよそ70%程度であり、一般的に骨吸収が大きいと治癒にも時間がかかりますが、本症例では術後6ヶ月で骨吸収は完全に回復し、良好な経過をたどっています。
症例紹介
初診来院時の状態

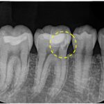
根の先の膿が大きく、歯茎も腫れている状態でした。過去の根管治療ではラバーダムは使用されておらず、根管充填の質もPoorであることから、再根管治療を行うことになりました。
<関連記事>
▶「歯の神経が死んでいる」と言われた方へ|神経の確認方法とセカンドオピニオンについて
精密根管治療



根管は4根管があり、過去の充填材料を除去する必要がある点、根管内の感染が強い点から、根管貼薬を行う2回法で処置を行いました。治療は問題なく完了しましたが、残存歯質量に不安があり、長期予後はQuestionableな状態でした。レジンにてコア築造を行い、6ヶ月後の経過観察となりました。
6ヶ月後のフォローアップ


6ヶ月後の経過観察時には初診時の噛んだ時の鈍痛は消失していました。レントゲン、CTにて、根尖部の明瞭な骨の回復が認められ、治療がうまく奏功していることが確認できました。
通常であれば術後12ヶ月まで経過をみますが、骨も完全に回復していること、症状がないことから、かかりつけ歯科医院にて最終補綴(かぶせもの)を行ってもらうことになりました。
患者様のご感想
骨が大きく溶けているため治らないかもしれないと言われていましたが、無事に歯を残すことができて安心しました。今まで保険診療でしか治療を受けてこなかったため、費用についてもどうしようかと迷っていましたが、あの時かかりつけの先生に紹介してもらって良かったと思っています。
Drからのコメント
通常、根尖部の骨吸収の回復には1年程度かかると言われていますが、症例によっては今回のように半年程度ではっきりと改善が認められる場合もあります。一方で、術後1年では全く変化がなく、2年3年と経過するにともない徐々にゆっくりと改善する場合もあります。どの程度のスピードで回復するかは術前には予想が難しく、今回は偶然ですがうまくスピーディーに治癒した事例であるといえます。
治療詳細
| 主訴 | 根の先の膿が大きく多分治らないと言われた |
|---|---|
| 治療内容 | 下顎大臼歯の精密根管治療 |
| 治療期間 | 2回 |
| 費用 | 根管治療165,000円(税込) |
| リスク・副作用 | 根管治療を行った歯は、不快症状が数ヶ月継続する可能性があります。また、術直後は痛みが出る可能性があります。症状の軽減には、およそ半年から1年程度の期間が必要です。臼歯の根管治療歯は歯の破折リスクが上がるため、クラウンによる補綴治療が推奨されます。 |
本症例と関連する他の根管治療の事例はこちら
▶根の先に膿がたまり、上顎洞の骨も溶けている【50代女性】_症例22
▶根の先の膿が大きいため抜歯するしかないと言われた歯を残したい【50代女性】エンドぺリオ病変の治療_症例5
▶根管治療は難しい治療であると聞き、専門医の先生に治療をお願いしたい【60代女性】_症例1
監修者情報

院長 髙井 駿佑
経歴
- 2007年 県立宝塚北高等学校 卒業
- 2013年 国立鹿児島大学歯学部 卒業
- 2014年 大阪大学歯学部附属病院 総合診療部 研修修了
- 2016年 医療法人晴和会うしくぼ歯科 勤務
- 2019年 医療法人晴和会うしくぼ歯科 副院長 就任
- 2023年 髙井歯科クリニック 開院
資格
- 日本歯内療法学会 専門医
- 米国歯内療法学会 会員
- 日本外傷歯学会 認定医




