目次
背景と経過
虫歯があるため治療が必要になったものの、過去の根管治療が不十分であること、レントゲンで根の先に黒い影があることから、根管治療も行った方がよいと説明を受けた患者様です。虫歯治療に先立ち、精密な根管治療を行うことで、歯を長期的に長持ちさせる治療についてご紹介します。
この症例の実際の治療動画はこちら
症例紹介
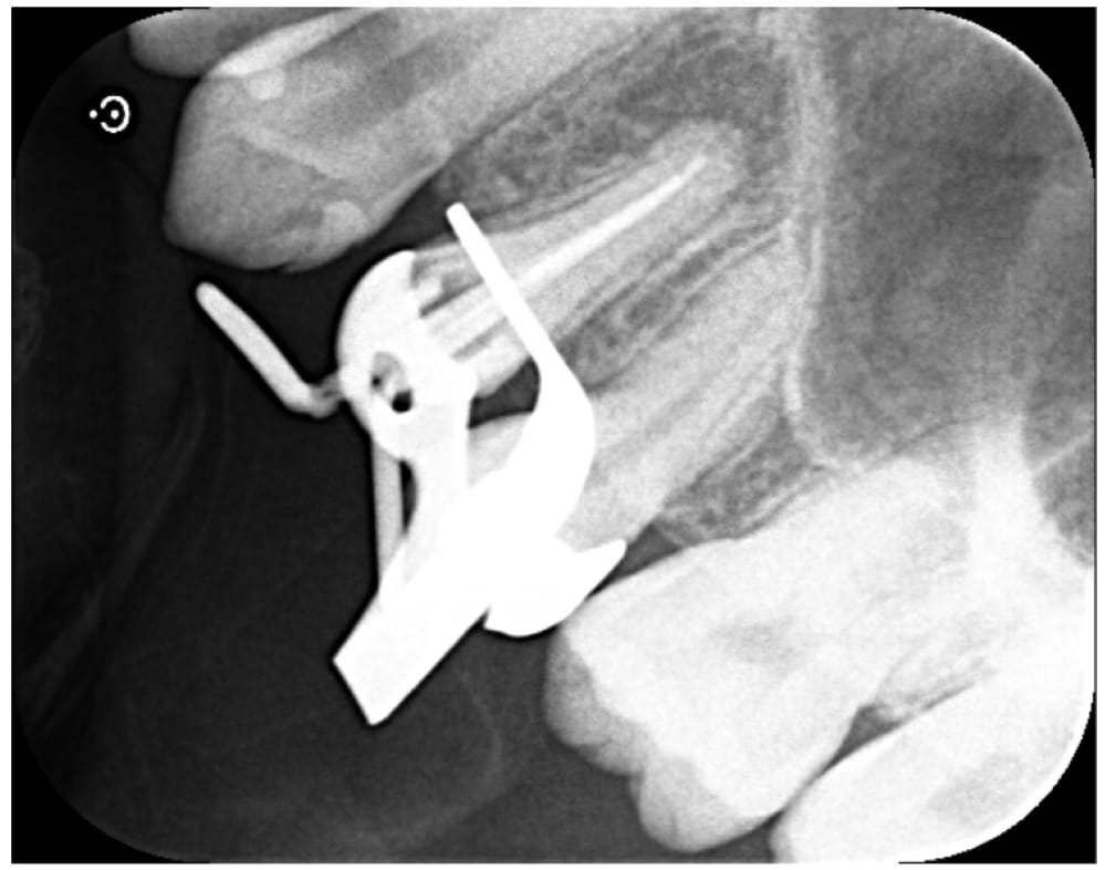
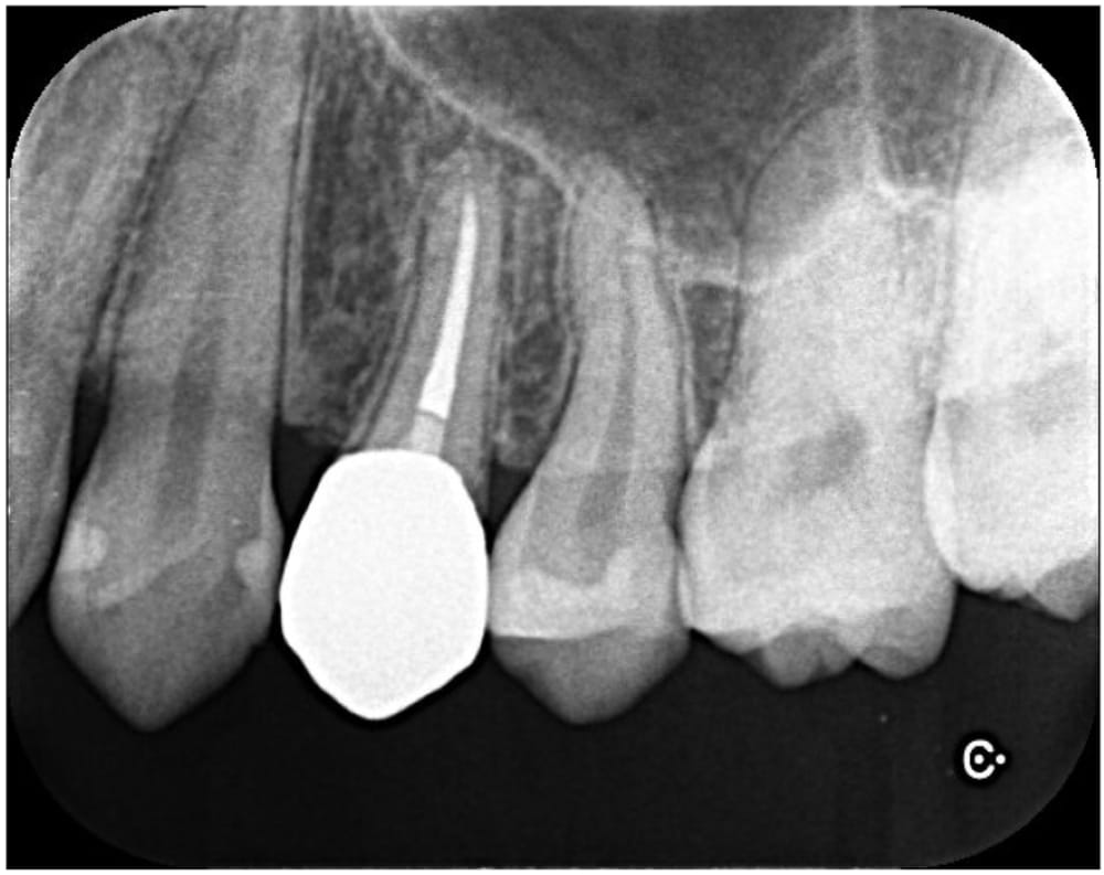
初診来院時の状態

左上の第一小臼歯(4番)には虫歯が認められ、レントゲン・CTにて明瞭な骨吸収像が認められました。痛みなどの症状はないものの、このまま被せ物の治療をやりかえる場合、将来的に根の先の膿が大きくなる可能性があるため、根管治療が第一選択であるとお伝えし、根管治療を開始することになりました。
精密根管治療



金属製のスクリューポストが入っていたため、残存歯質に負担がかからないように超音波の振動で除去を行いました。比較的シンプルな根管形態であったため、治療は1回で完了し、ファイバーポストを併用してラバーダム防湿下でコア築造まで行いました。
| 根管洗浄 | 次亜塩素酸ナトリウム溶液・EDTA溶液 |
|---|---|
| 根管貼薬 | なし(1回で治療を終えたため) |
| 拡大号数 | #40/04 |
| 根管充填 | バイオセラミックシーラーを用いたHydraulic condensation technique |
フォローアップ
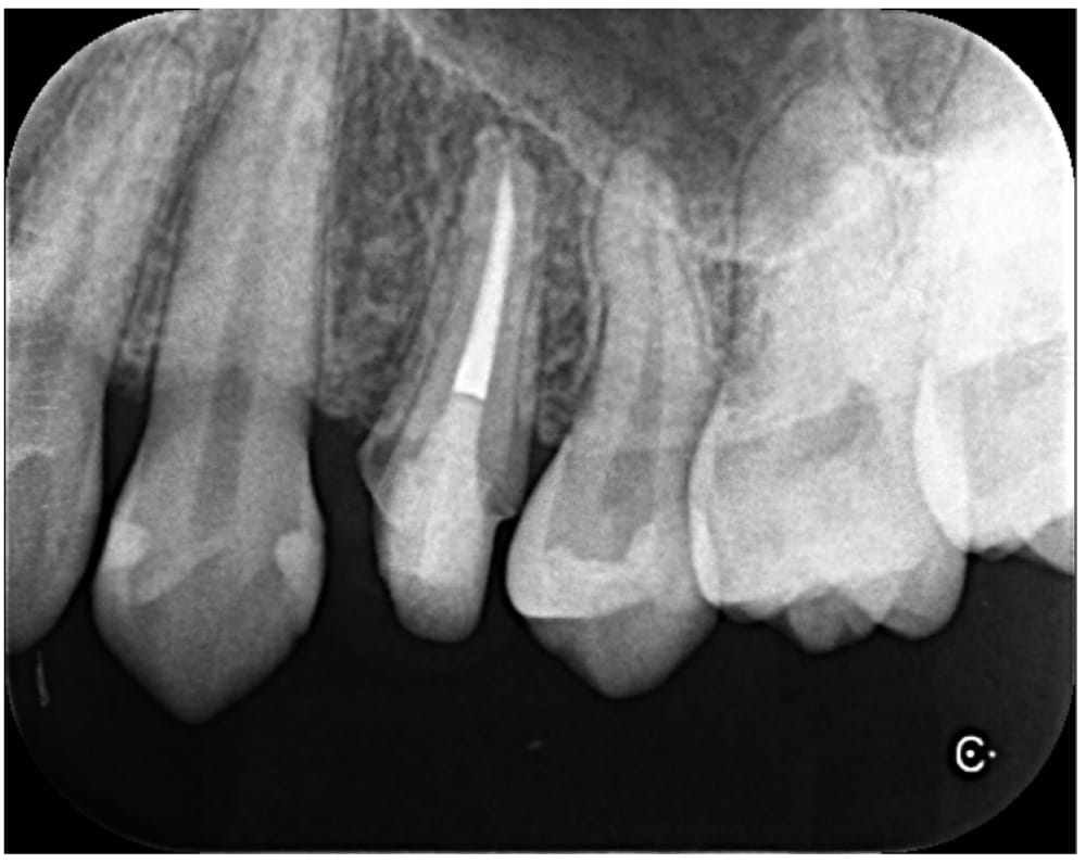
術後の経過観察



治療後6ヶ月で根尖部の透過像は縮小傾向を認め経過良好のため、ジルコニアクラウンによる最終補綴治療へ移行しました。
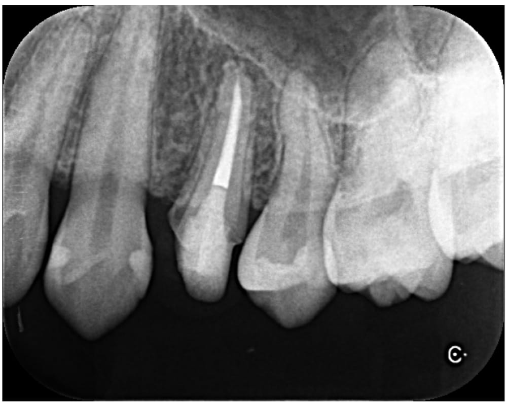
2年の経過観察


術後24ヶ月が経過時点でのCT画像では、もともとはっきりと写っていた根の先の黒い部分は完全に消失し、骨の回復が認められます。被せ物の適合にも問題なく、良好な経過をたどっています。
<関連記事>
▶根管治療をやり直すべきか?判断のポイント
患者様のご感想
もともと被せ物だけやる予定でしたが、根管治療が必要と聞き、髙井歯科クリニックさんにお願いすることにしました。はっきりと根の先に見えた黒い影は綺麗に消えていて、安心してセラミックを入れることができました。ラバーダムをこれまで使ったことがなかったので不安でしたが、治療中も特にしんどいこともありませんでした。治療も1回で終わり、術後も痛みがなく、治ってくれてよかったです。
Drからのコメント
虫歯や被せ物の治療が必要となった歯が過去に根管治療を受けている歯の場合、「根管治療からやり直すか」「虫歯の処置だけを行うか」の判断が必要となります。基本的に、根の先に病変(黒い影)があり、根の中に細菌の感染が疑われる場合、根管治療からやり直すことが第一選択となります。なぜなら、根の中の細菌をそのままにして補綴修復治療を進めた場合、将来的に根の先の膿(根尖性歯周炎)が増悪する可能性があるからです。しかし、100%治療が必要かというと、そうとは言い切れません。残存歯質の状態や患者様の希望、歯の検査結果などを含め、治療介入すべきかは慎重に判断する必要があります。
治療詳細
| 主訴 | 根の先に膿があり、過去の根管治療のやり直しが必要になった |
|---|---|
| 治療内容 | 上顎小臼歯の精密根管治療 |
| 治療期間 | 1回 |
| 費用 | 根管治療154,000円(税込) |
| リスク・副作用 | 根管治療を行った歯は、不快症状が数ヶ月継続する可能性があります。また、術直後は痛みが出る可能性があります。症状の軽減には、およそ半年から1年程度の期間が必要です。臼歯の根管治療歯は歯の破折リスクが上がるため、クラウンによる補綴治療が推奨されます。 |
本症例と関連するほかの根管治療の事例はこちら
▶【50代女性】上顎洞炎を併発した根尖性歯周炎の症例
▶【20代女性】歯茎の腫れによる精密根管治療の症例
▶費用に関わらず精密な根管治療をご希望された症例
監修者情報

院長 髙井 駿佑
経歴
- 2007年 県立宝塚北高等学校 卒業
- 2013年 国立鹿児島大学歯学部 卒業
- 2014年 大阪大学歯学部附属病院 総合診療部 研修修了
- 2016年 医療法人晴和会うしくぼ歯科 勤務
- 2019年 医療法人晴和会うしくぼ歯科 副院長 就任
- 2023年 髙井歯科クリニック 開院
資格
- 日本歯内療法学会 専門医
- 米国歯内療法学会 会員
- 日本外傷歯学会 認定医





