目次
背景と経過
2週間前に銀歯が取れて痛みがあり、近医を受診したところ、根管治療が必要とのことで治療を開始した患者様です。3回ほど根管治療を受けましたが、常に痛みがある状態が続いており、当院を受診されました。お話を聞くとラバーダムは使用せずに治療を受けており、口腔内からはペリオドンのにおいが漏れている状態でした。
症例紹介
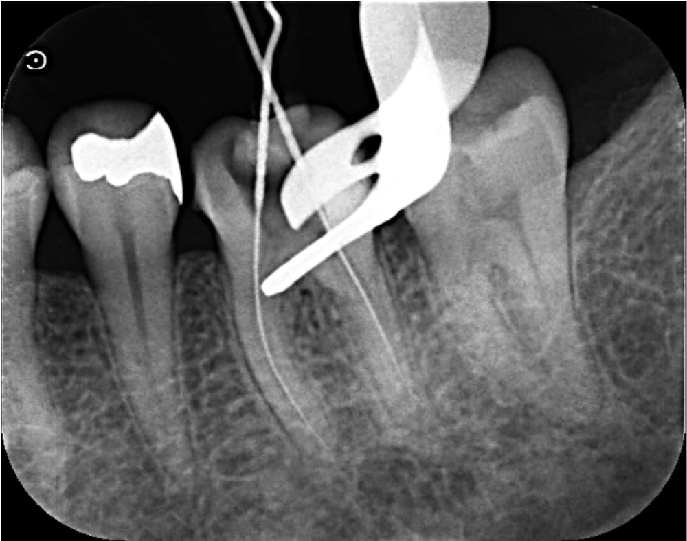
初診来院時の状態

左下6番は仮封がされている状態であり、レントゲン画像では歯と封鎖材料の隙間がある状態でした。口腔内の所見からも、虫歯が残存していることが推測されました。痛みの原因としては、複数回のペリオドンの使用に加え、ラバーダムがない根管治療を受けていることや虫歯が残存していることなどが考えられます。
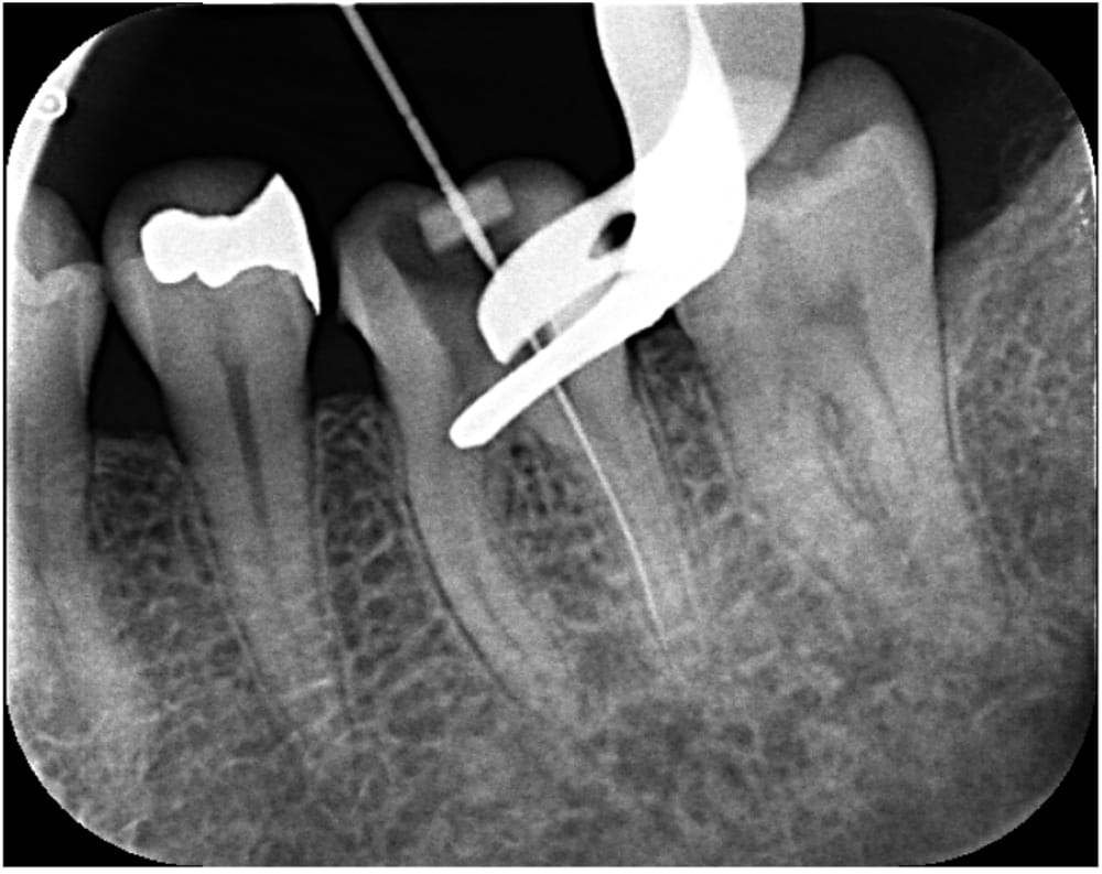
精密根管治療 1回目



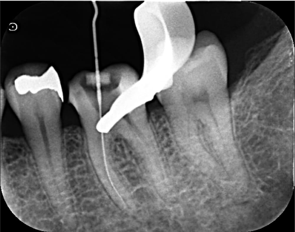
精密根管治療 2回目



2回目の来院時には、当初抱えていた強い痛みはかなり軽減していました。
根管内を徹底的に清掃し、充填のためのガッタパーチャポイントを試適し、根管充填+コア築造まで完了しました。
過敏な状態がおさまるまで最低でも6ヶ月はかかることをご説明し、治療は終了しました。
フォローアップ
6ヶ月後の経過観察

根管治療から6ヶ月が経過し、普段の痛みは消失したとのことでした。この時点では噛み合わせても上の歯と当たらないように高さを落としている状態ですが、食べ物が当たると強く響くのが心配とのことなので、追加で6ヶ月(術後12ヶ月まで)経過観察となりました。
12ヶ月後の経過観察

12ヶ月経過時には、日常生活でほとんど気にならないレベルにまで症状は軽減しました(たまに違和感を感じる程度)。患者様にも、おそらくこれ以上感覚は戻らないことをお伝えしたところ、問題ないとのことで、仮歯装着後、最終補綴(クラウン)へ移行しました。
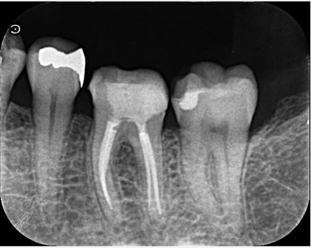
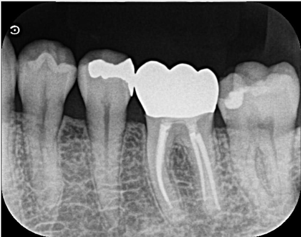
クラウン作製・装着

根管治療後、ジルコニアによるクラウンを装着しました。
かぶせものの適合や咬合にも問題はなく、治療は完了しました。
患者様のご感想
前の歯科医院で根管治療を受けた後はずっと痛みがありましたが、こちらでラバーダムを使用してしっかり治療してもらってからは、痛みもかなり軽減し、今では問題なく食事がまたできるようになりました。もっと早くここで専門的な治療を受ければよかったと思っています。
痛みが続いているなら抜くしかないと言われていたので、無事に歯が残せてよかったです。
ありがとうございました。
Drからのコメント
根管治療は、抜髄(初めて根の中を触る治療・Initial Treatment)の成功率はおよそ90%程度と高い成功率が報告されています。ただし、これは無菌的かつ適切な治療を受けた場合です。残念ながら不十分な治療であれば、痛みが続き、治癒せず、最終的には抜歯となる可能性があります。
本症例のように、ラバーダムがなく、またペリオドンという強い薬を使っている場合、感染が広がり歯が過敏な状態が続きやすい傾向になります。複数回治療を受けても症状が改善しない場合には、早めに専門的な治療を受けた方がよい典型的な事例でした。
治療詳細
| 主訴 | 歯髄炎になりラバーダムなしで根管治療を続けているが痛みがとれない |
|---|---|
| 治療内容 | 下顎大臼歯の精密根管治療 |
| 治療期間 | 2回 |
| 費用 | 根管治療165,000円(税込) |
| リスク・副作用 | 根管治療を行った歯は、不快症状が数ヶ月継続する可能性があります。また、術直後は痛みが出る可能性があります。症状の軽減には、およそ半年から1年程度の期間が必要です。臼歯の根管治療歯は歯の破折リスクが上がるため、クラウンによる補綴治療が推奨されます。 |
本症例と関連する他の根管治療の事例はこちら
<関連記事>
▶歯髄炎とは?ズキズキ痛む症状・原因と治療法・神経を残すか抜くかの判断基準
▶根管治療で使用する薬 ペリオドンという強い薬の毒性について専門医が解説
▶歯の神経を抜くのは痛い?治療中・治療後の痛みと適切な対処法を解説
<関連症例>
▶ラバーダムなしで根管治療を開始したが、ずっと痛みが続いている【30代女性】_症例36
▶他院で根管治療を開始したが、痛みが強く続いているため転院 ペリオドンによる根管治療後の強い痛み【40代女性】_症例25
▶10回以上根の治療に通っているが治らない【20代女性】根管治療における薬の交換と治療回数_症例6
監修者情報

院長 髙井 駿佑
経歴
- 2007年 県立宝塚北高等学校 卒業
- 2013年 国立鹿児島大学歯学部 卒業
- 2014年 大阪大学歯学部附属病院 総合診療部 研修修了
- 2016年 医療法人晴和会うしくぼ歯科 勤務
- 2019年 医療法人晴和会うしくぼ歯科 副院長 就任
- 2023年 髙井歯科クリニック 開院
資格
- 日本歯内療法学会 専門医
- 米国歯内療法学会 会員
- 日本外傷歯学会 認定医





