目次
背景と経過
前医にて、右上6番の痛みを主訴に根管治療を受けられた患者様です。5〜6回ほど、ラバーダムなしでの根管治療を受け、治療は完了している状態でした。しかしその後も強い痛みが続いており、担当医からは「少し材料が出ているのが原因かもしれない」「痛いなら抜歯しかない」と説明を受け、当院を受診されました。患者様は、治療中の歯科医師の言動などに不信感を抱いており、自分の歯がどうなっているのか、治る可能性があるのかどうかを知りたいとのことでした。
症例紹介
初診来院時の状態

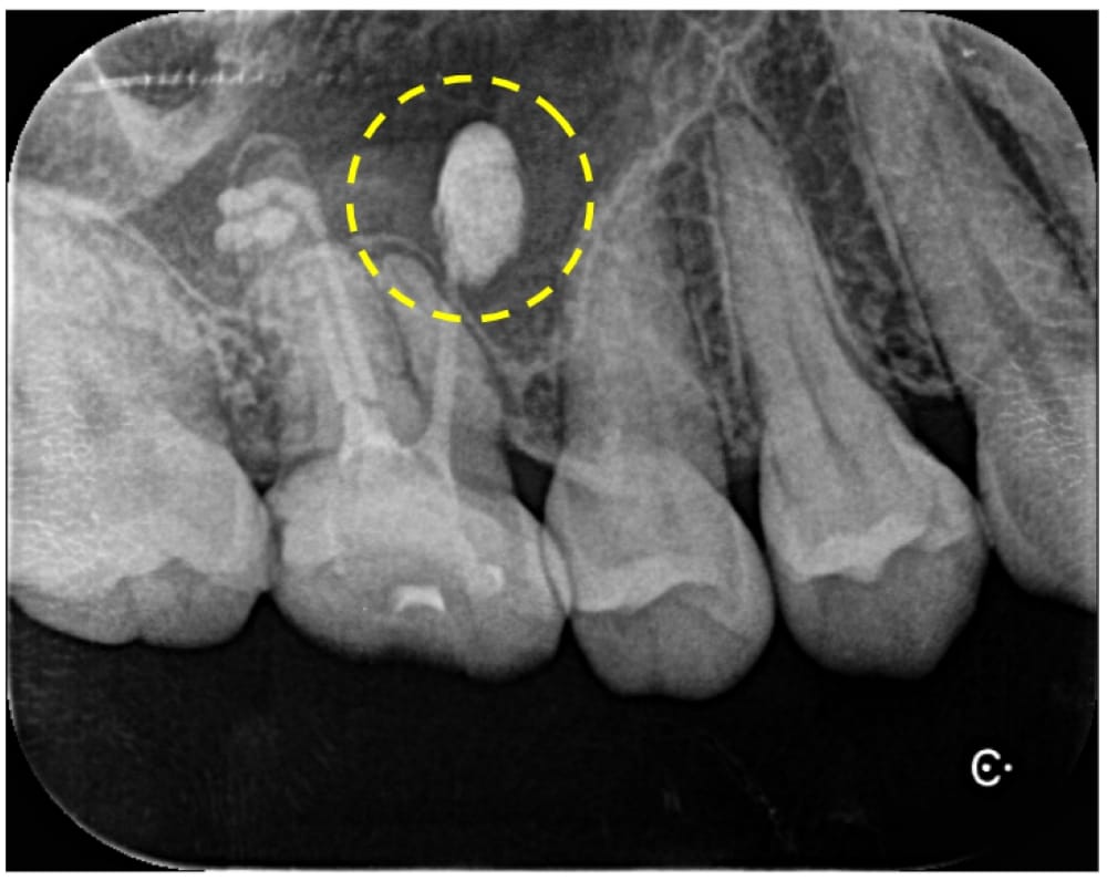
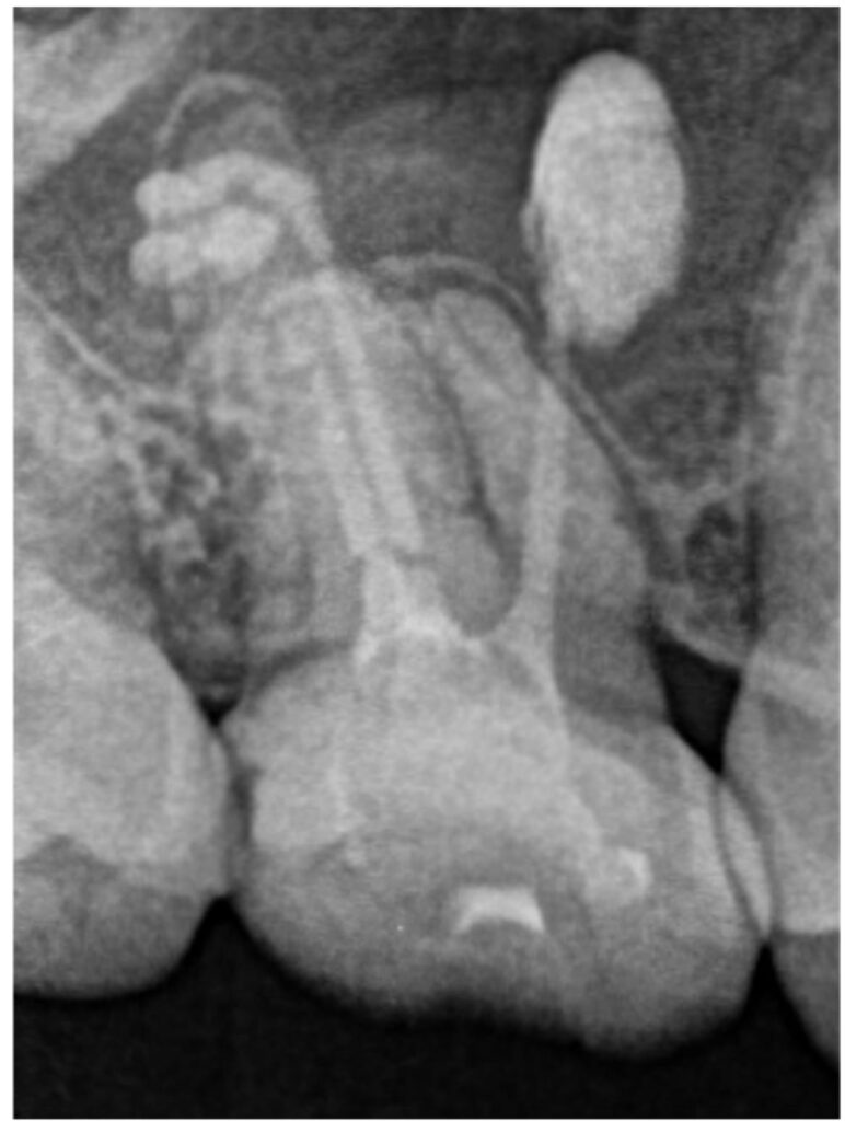
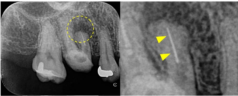
右上6番は、近心根管のパーフォレーション(穿孔)が疑われ、そこから根尖孔外へレントゲン的に白く写る不透過性物質の押し出しが確認できました。性状から、貼薬材料あるいは根管充填に使用するシーラーであると推測されました。
根尖孔外へ飛び出た材料を取り除くことは根の中からのアプローチでは不可能であり、取り除くためには外科的歯内療法が必要であることをご説明しました。
もともとラバーダムなしで根管治療が行われていたことから、根管内の細菌感染が疑われる状態であったため、まずは通常通りの非外科的な根管治療を行い、治癒しない場合に外科的歯内療法へ移行することになりました。

精密根管治療



根管内の古い詰め物をすべて除去し、本来の異なる方向に穴があいているパーフォレーション部位に対しては、MTAセメントを使用して穿孔封鎖を行いました。
治療は2回で完了し、飛び出ている材料の状態も含め、経過観察となりました。
| 根管洗浄 | 次亜塩素酸ナトリウム溶液・EDTA溶液 |
| 根管貼薬 | 水酸化カルシウム |
| 拡大号数 | MB,DB,P根 #40/04 |
| 根管充填 | バイオセラミックシーラーを用いたHydraulic condensation technique |
フォローアップ
術後の経過観察



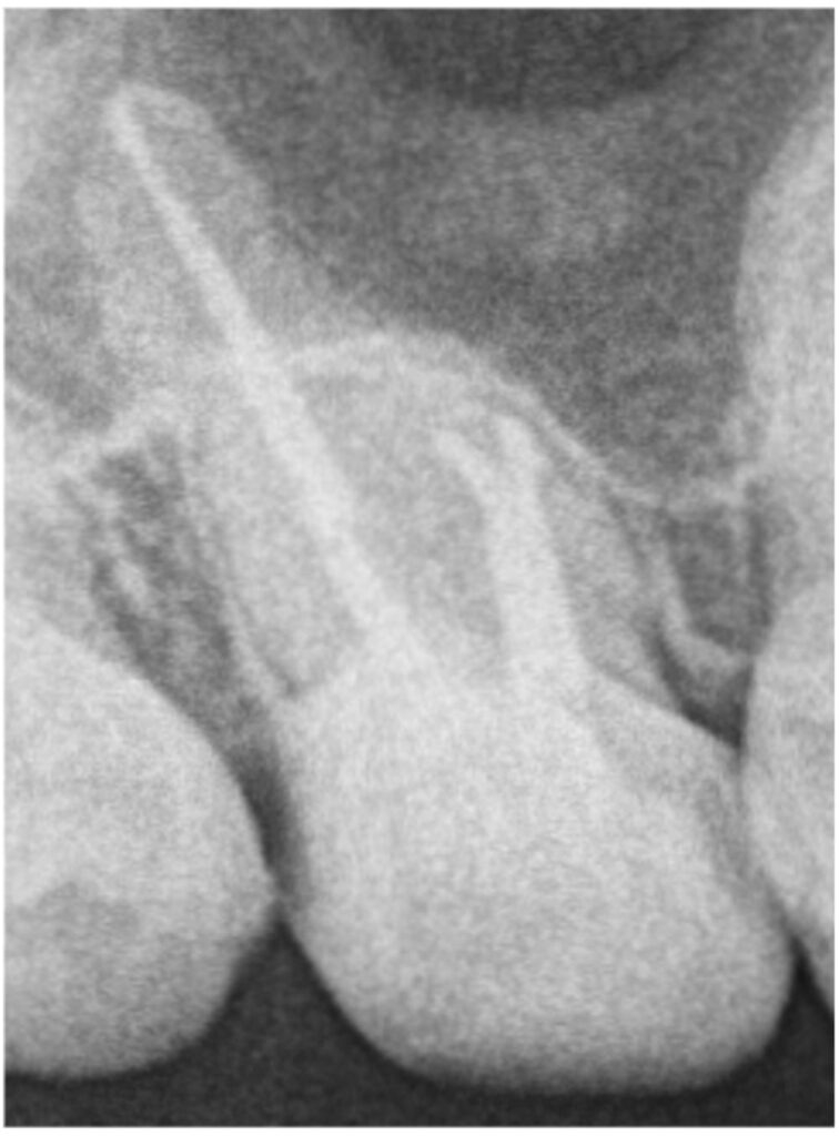
治療前にはっきりと写っていた根の先の材料ですが、術後12ヶ月では完全に消失しています。治療前には強く感じていた鈍い痛みもなくなり、良好な状態を維持しています。
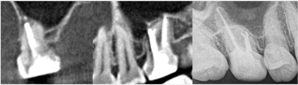
CT画像による三次元的比較


CT画像上でも、根尖部の骨の回復と漏出していた材料の消失が認められます。
患者様のご感想
一度は根管治療を受けたものの全く痛みがひかず、材料が飛び出ていると聞き、とても不安でした。抜歯は何としてでも避けたかったので治療を受けることにしました。飛び出た材料はどうしようもないので、治らなければ歯茎を切る治療(歯根端切除術)が必要かもしれないと言われ、何とか治ってほしいと願っていましたが、無事治って本当によかったです。痛みも治療をして徐々に引いたため、今ではほとんど気にならなくなり、快適に過ごせています。
Drからのコメント
根管治療は、マイクロスコープが無い場合や、適切な手技が行われていない場合、本症例のようにパーフォレーションという歯の根の中に穴があく問題が起こり得ます。また、そこから材料が根の外に飛び出している場合、除去は困難です。しかし、“治らないのは飛び出た材料が原因か?”というと、決してそうとは言い切れません。根管内の細菌を減少させ、外部から細菌感染しないよう封鎖することで、本症例のように治癒に至る可能性は十分にあります。
今回の患者様の場合、飛び出た材料は治癒とともに自然と消失しました。(おそらく)吸収性の材料ではありませんが、身体の自己免疫機構が働き、異物として貪食され消失したと推測されます。多くの場合、根尖孔外の異物は残存したままで治癒します。そのため、今回のように綺麗に消失することは比較的稀であるといえるでしょう。また、もしも根尖孔外に飛び出た材料が原因で治癒しない場合には、外科的歯内療法の適応となります。
治療詳細
| 主訴 | 根の先から薬が飛び出している |
|---|---|
| 治療内容 | 上顎大臼歯の精密根管治療 |
| 治療期間 | 2回 |
| 費用 | 根管治療165,000円(税込) |
| リスク・副作用 | 根管治療を行った歯は、不快症状が数ヶ月継続する可能性があります。また、術直後は痛みが出る可能性があります。症状の軽減には、およそ半年から1年程度の期間が必要です。臼歯の根管治療歯は歯の破折リスクが上がるため、クラウンによる補綴治療が推奨されます。 |
本症例と関連する他の根管治療の事例はこちら
▶外科的歯内療法とは?歯根端切除術・意図的再植術の違いや選択肢を解説【大阪の歯内療法専門医】
▶パーフォレーション(穿孔)とは?根管治療中に「歯に穴があいた」と言われた方へ|原因・症状・治療と予後
▶パーフォレーションに対してMTAセメントで封鎖を行った【50代女性】穿孔封鎖と根管治療の合併症_症例38
▶根の中で器具が折れているため抜歯しかないと言われた【40代女性】下の前歯の破折ファイル除去_症例41
▶破折ファイルがあり根管治療をしても治らないと言われた【60代女性】破折ファイルとパーフォレーションの2つの偶発症を起こしていたケース_症例45
監修者情報

院長 髙井 駿佑
経歴
- 2007年 県立宝塚北高等学校 卒業
- 2013年 国立鹿児島大学歯学部 卒業
- 2014年 大阪大学歯学部附属病院 総合診療部 研修修了
- 2016年 医療法人晴和会うしくぼ歯科 勤務
- 2019年 医療法人晴和会うしくぼ歯科 副院長 就任
- 2023年 髙井歯科クリニック 開院
資格
- 日本歯内療法学会 専門医
- 米国歯内療法学会 会員
- 日本外傷歯学会 認定医





