目次
背景と経過
下の前歯の歯茎が腫れており、膿がたまり鈍い痛みがあるとの主訴で来院された患者様です。腫れている部分に装着されているブリッジは10年以上前に治療を受けたとのことでした。現在のかかりつけ歯科医院からは「根の先で器具が折れている」「折れているファイルの除去は多分無理なので様子を見るか、症状があるなら抜歯しましょう」と言われており、その後いくつかの歯科医院でも同様の診断をされていました。その後、破折ファイルを除去できる歯科医院を調べ、破折ファイル除去の事例を掲載していた当院のホームページをご覧になり、受診されました。
症例紹介
初診来院時の状態

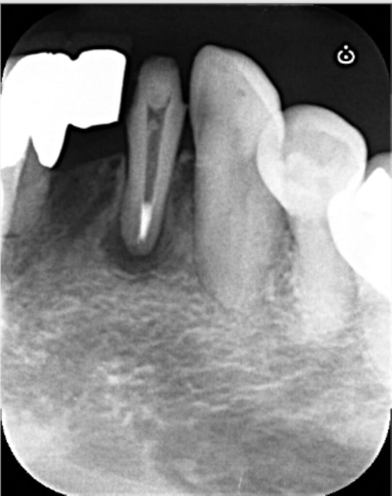
下顎前歯の根の先に、はっきりと黒い影(骨吸収像)が認められます。腫れや痛みの症状もあることから、根尖性歯周炎と診断しました。
レントゲン画像では、根管内に白い不透過像も認められ、形状からおそらく破折ファイルと推測される状態でした。
患者様には、以下の点をご説明し、同意を得た上で治療を開始しました。
- 器具が折れている状態と思われるが、実際のところレントゲンでは何なのかは確定できない
- もし仮に破折ファイル(器具)だったとしても、それ自体が感染源になるわけではない
- 除去可能なら除去を試みるが、除去のために大きく歯を削る必要がある場合は、無理に除去せず歯質の温存を優先する
- 治らない場合には、外科的歯内療法で治療を行う必要がある
精密根管治療+破折ファイル除去の実際

ステップ1
元々装着されていたブリッジを切断して除去し、ラバーダム装着後、まずは根管上部のガッタパーチャ(根の中の詰め物)を除去しました(レントゲン写真はガッタパーチャ除去直後)。
根の先端部分に破折ファイルの断端が確認できたため、除去を試みました。

ステップ2
下顎前歯は根管が細く、除去の難易度も非常に高かったものの、無事にファイルを除去できました。

ステップ3
除去した破折ファイルの写真です。レントゲン画像ではある程度の長さがあるように見えますが、実際に除去したファイルはおよそ2.5mm程度でした。

ステップ4
根管内を清掃すると、根の先端部分が大きく開いている状態でした。通常のガッタパーチャポイントを使用した根管充填では緊密な封鎖が困難なため、MTAセメントを使用して根尖部分を封鎖しました(写真は、MTAセメントを充填した直後)。

ステップ5
MTAセメント充填後、上部はガッタパーチャで封鎖し、その上部はレジンにて封鎖しました。前歯のため、経過観察期間中は仮歯で過ごしていただき、6ヶ月後のフォローアップを予定し終了となりました。
症状の変化
6ヶ月後の経過観察


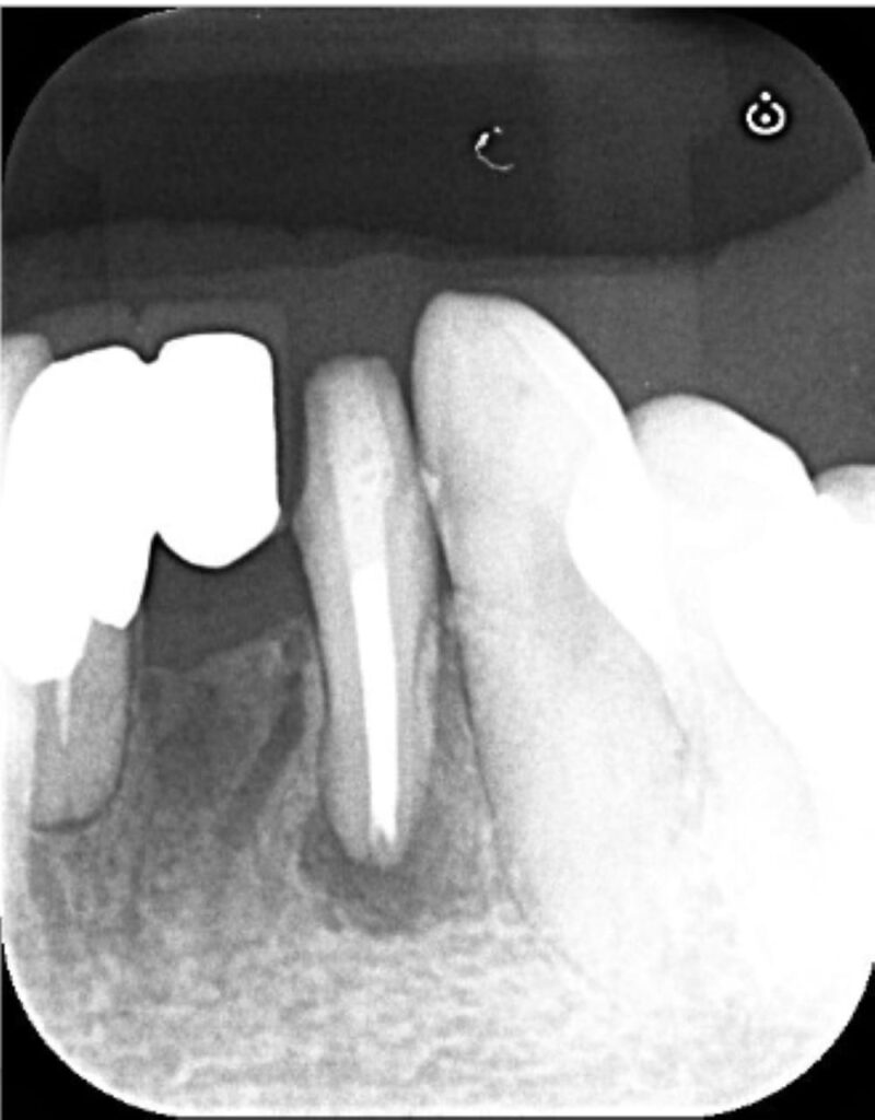
術前にはっきり写っていた根の先の黒い影は術後6ヶ月でほぼ消失しており、骨の回復が認められます。患者様の症状も痛み・腫れともに完全に消え、良好な状態でした。根の問題は解決したため、このまま最終補綴(セラミックのブリッジ)へ移行することになりました。
患者様のご感想
ここに来るまでに数件の歯医者に相談に行きましたが、どこの歯医者でも「器具が折れているので取らない限りは治らないが、そもそも取るのは難しくほぼ不可能」「諦めて抜歯した方がいい」と言われました。なんとかならないかと思い髙井歯科クリニックさんに来させていただきましたが、初めの説明もとてもわかりやすく、「治るかもしれない」と希望がもてました。治療もとても丁寧で、今では腫れも痛みも消えてとても快適に過ごせています。難しい治療だったと思うのですが、こちらにお願いしてよかったです。ありがとうございました。
Drからのコメント
破折ファイルは、根管治療を行う際には一定の確率で起こりうる偶発症のひとつです。必ずしも折れた器具は除去しなければならないわけではありませんが、可能なら除去が望ましいこと、そして、除去するためには高い技術が必要なことが特徴です(あっさりすぐに除去できる場合もありますが)。
今回のように、下の前歯は実は根管治療の難易度が高い部位のひとつです。その理由は、歯そのものが非常に細いため、少しでも歯を切削する方向を誤ると、穴があいてしまうパーフォレーションのリスクがあるからです。今回は、破折断端が視認できたためなんとか除去ができたケースでしたが、根尖部の破壊も認められたため、MTAセメントにて封鎖するなど、とても複雑な状況でした。
6ヶ月の経過観察時には骨はほとんど回復しており、経過良好といえます。
治療詳細
| 主訴 | ファイルが折れているため抜歯と言われた |
| 治療内容 | 下顎前歯の精密根管治療 |
| 治療期間 | 1回 |
| 費用 | 根管治療143,000円(税込) |
| リスク・副作用 | 根管治療を行った歯は、不快症状が数ヶ月継続する可能性があります。また、術直後は痛みが出る可能性があります。症状の軽減には、およそ半年から1年程度の期間が必要です。臼歯の根管治療歯は歯の破折リスクが上がるため、クラウンによる補綴治療が推奨されます。 |
関連記事はこちら:破折ファイル除去の判断基準 | 歯内療法コラム
本症例と関連する他の根管治療の事例はこちら
▶複雑な根の形をしている難易度の高い歯の再根管治療【50代女性】_症例27
▶下の前歯のフィステルが根管治療を続けても治らない【50代男性】_症例34
▶保険ではなく自由診療で、再発しないよう精密な根管治療を受けたい【30代男性】_症例29
監修者情報

院長 髙井 駿佑
経歴
- 2007年 県立宝塚北高等学校 卒業
- 2013年 国立鹿児島大学歯学部 卒業
- 2014年 大阪大学歯学部附属病院 総合診療部 研修修了
- 2016年 医療法人晴和会うしくぼ歯科 勤務
- 2019年 医療法人晴和会うしくぼ歯科 副院長 就任
- 2023年 髙井歯科クリニック 開院
資格
- 日本歯内療法学会 専門医
- 米国歯内療法学会 会員
- 日本外傷歯学会 認定医





